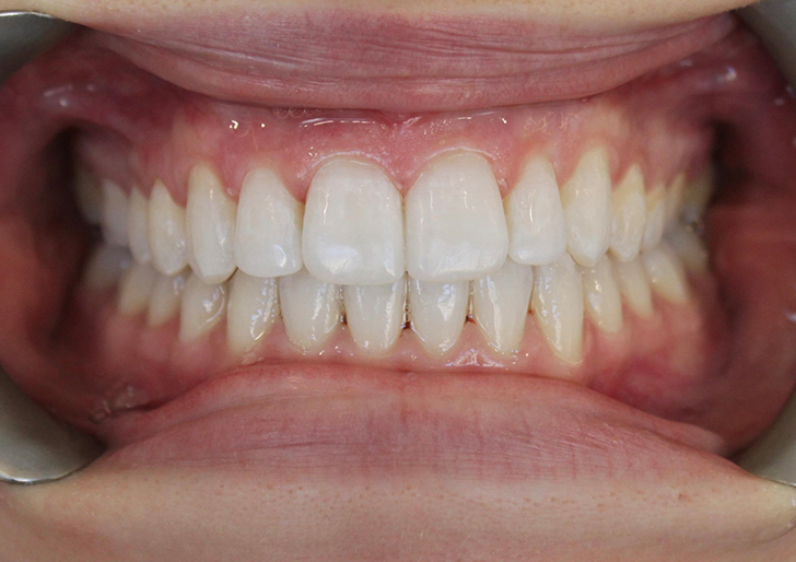
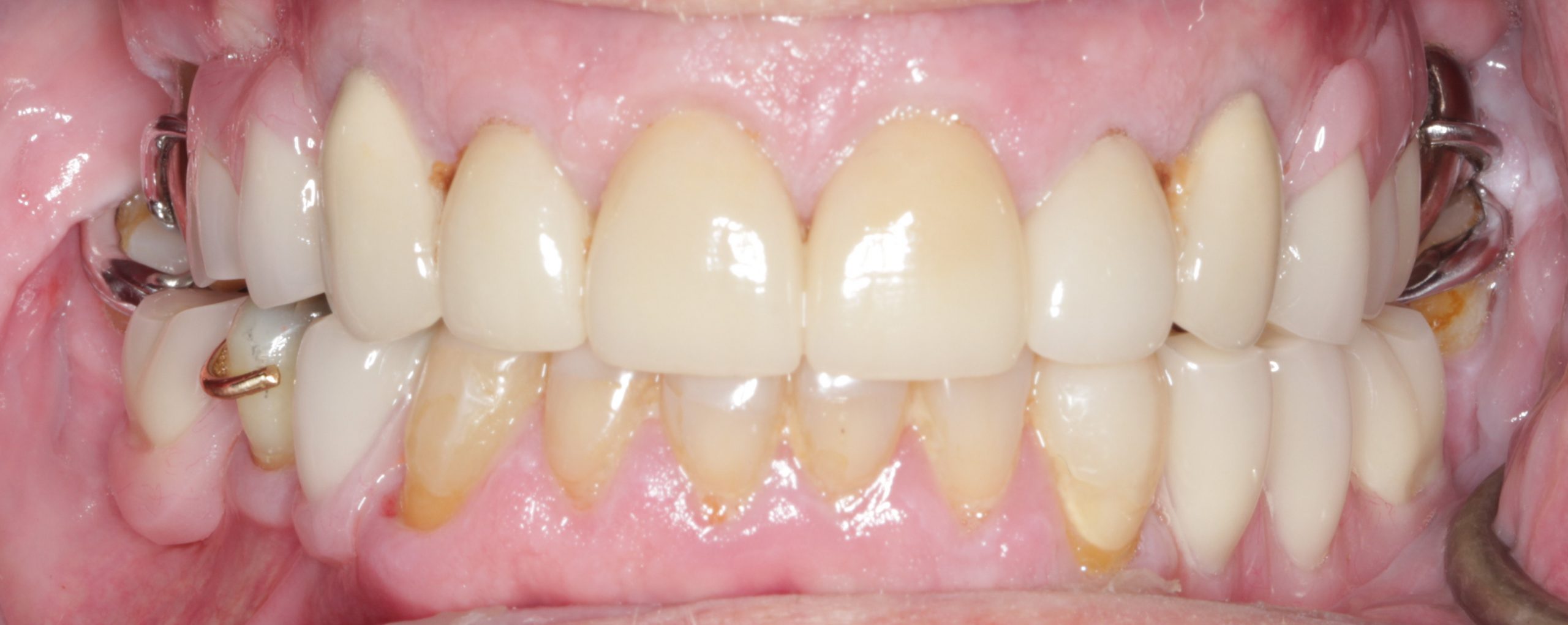
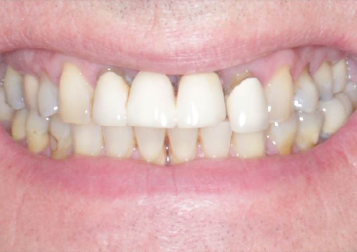
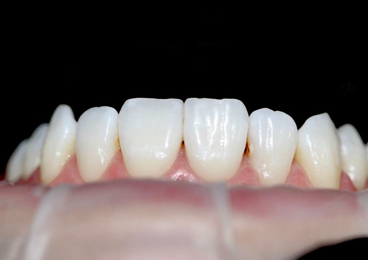
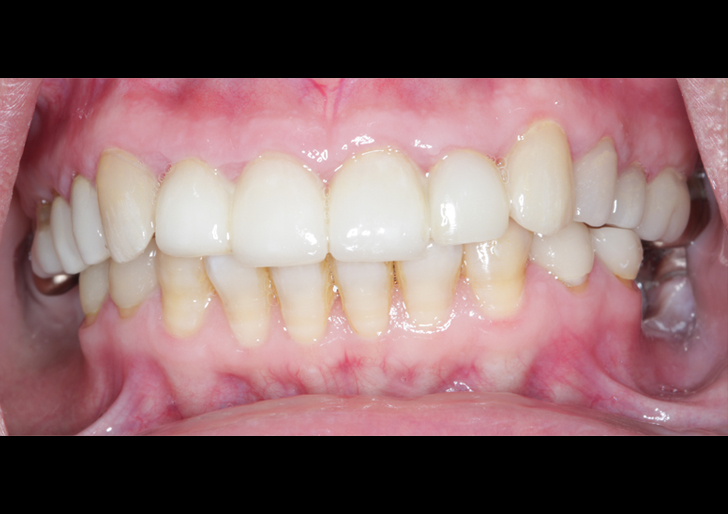
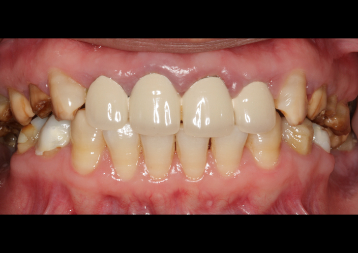
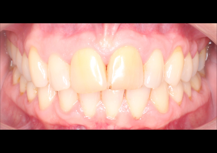
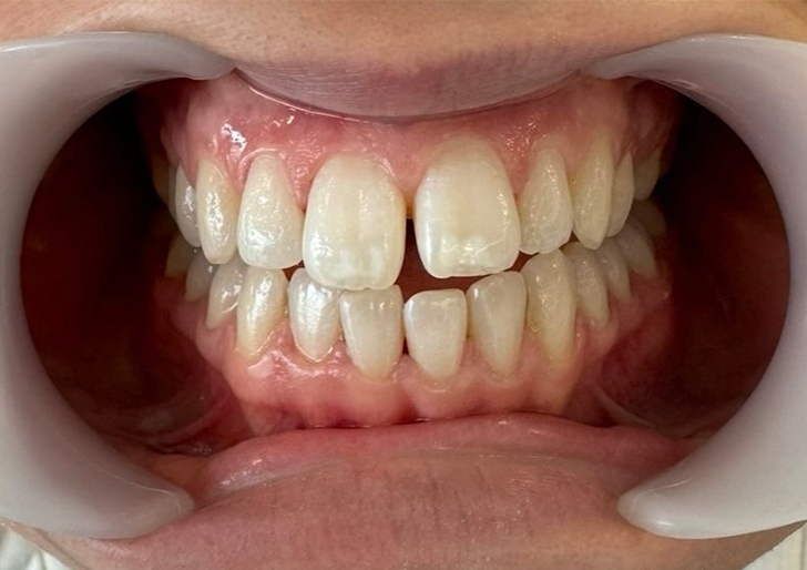
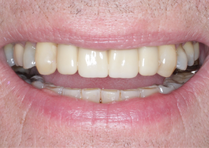
Transforming Smiles with Confidence

Take a look at some of the stunning smile makeovers we’ve achieved for our patients at Gomersal Dental.

Pt3 B P3 A
pt3-2 b pt3 -2 a
Pt 2 B pt2 A
pt 1 B pt 1 A
Pt 5 B Pt 5 A
P12 B P12 A
P11 B P11 A
Pt10 B Pt10 A
Pt82 B Pt82 A
Pt8 B Pt8 A
pt9 B Pt9 A
Pt4 - B Pt4 - A
Pt6 PT06 - A
Before After
Before02 After 02
Before 03 Before 03 after
Case 3 - Pre treatment bone regeneration surgery Case 3 - 1 year after surgery
Case 4 retracted smile pre op Case 4 retracted smile post op

Facial Aesthetic Treatments

p13 b p13 A
p14 B p14 A
p15 b p15 a